Casino En Ligne Sans VerificationMigliori Casino OnlineMigliori Casino Non AamsMeilleur Live CasinoCasino Online Migliori

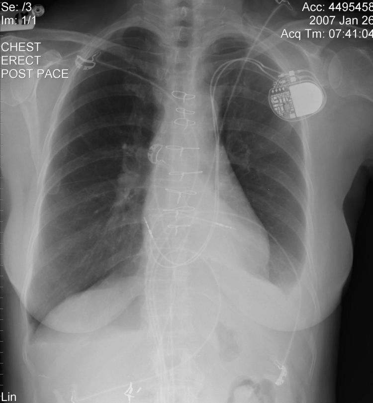
Persistent Left Superior Vena Cava

From Ask Dr Wiki

Jump to: navigation, search

The above CXR show the atrial and ventricular pacemaker lead passing through a persistent left sided SVC.

Personal tools

Inspiring websites